Cabinet d'Orthodontie des Drs BOURHIS et LAWNICZAK
Spécialistes Qualifiés en Orthopédie Dento Faciale et Orthodontie
57 RUE ARISTIDE HURBIEZ, 62400 BETHUNE
+33 3 21 68 63 88

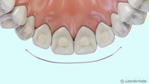
Fil de contention


video-play-icon

Articles similaires